[目] マイメロース - 目、鼻
<後>
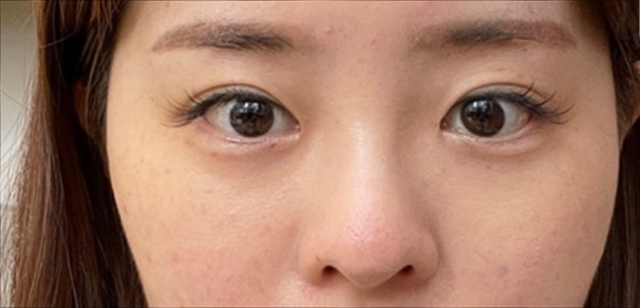
<前>
目と鼻の手術をしてから、周りの視線が変わりましたㅠㅠ
手術前は少し丸い印象で、私が追求する美的な顔ではなかったので
鏡を見るたびに変わりたいという気持ちが強かったですㅠㅠ
周りにもおせっかいな人が多くて、何かにつけて「大丈夫だろう」と言う人も結構いて
ストレスで手術を受けたかったのですが、手術を受けてからは周りの視線も大きく変わり、顔も洗練されて見えるので気に入っています..ㅎㅎ
ちなみに、目は再手術で、鼻は初めての手術です。
手術前は、元の顔がこうだから大きく変わらないだろうと思っていましたが、元の顔はさておき
ニーズをきちんと把握してくれて、腕の良い病院で受けなければうまくいかないこともあるようですㅎㅎ
自然に綺麗になりたいとお願いしたら、完全に自然に仕上げてくれました!
少し値段は高い気がしましたが、それでも有名で上手なところで手術を受けて
成功したのでとても嬉しいですㅎㅎ
<前>
目と鼻の手術をしてから、周りの視線が変わりましたㅠㅠ
手術前は少し丸い印象で、私が追求する美的な顔ではなかったので
鏡を見るたびに変わりたいという気持ちが強かったですㅠㅠ
周りにもおせっかいな人が多くて、何かにつけて「大丈夫だろう」と言う人も結構いて
ストレスで手術を受けたかったのですが、手術を受けてからは周りの視線も大きく変わり、顔も洗練されて見えるので気に入っています..ㅎㅎ
ちなみに、目は再手術で、鼻は初めての手術です。
手術前は、元の顔がこうだから大きく変わらないだろうと思っていましたが、元の顔はさておき
ニーズをきちんと把握してくれて、腕の良い病院で受けなければうまくいかないこともあるようですㅎㅎ
自然に綺麗になりたいとお願いしたら、完全に自然に仕上げてくれました!
少し値段は高い気がしましたが、それでも有名で上手なところで手術を受けて
成功したのでとても嬉しいですㅎㅎ