お客様のリアルな体験談をご覧ください
솔직히 지방이식생각없엇는데 주위에서 다필러맞고 뭐넣고 할때솔직히 부럽고 나도 더 입체감잇고 밋밋한 얼굴을 없애고 싶어서많이 고민햇습니당ㅜㅜ 저는...
二重まぶた手術 32日後(15歳) 2020-01-18 hit.138 二重まぶた手術 32日後(15歳)二重手術をするようになった理由は毎朝起きて二重のり、...
#人生切開 #ナナ美容外科 #親切ボス 元々私は二重手術をした目だったんですが、時間が経つにつれてラインがあまりにも細くなってしまいましたㅜㅜ...(涙)...
目頭切開、切開、眼瞼下垂矯正(21歳)30日後のレビュー。
코 재수술은 임영민 원장님,실리프팅, 풀페 지방이식, 이중턱 지방흡입은 김준현 원장님께 수술받았습니다^0^ 벌써 8개월이란 시간이 흘렀네요.시간...
施術は思ったより痛かったです。 でも、すごく早く終わります。 鼻の輪郭注射の効果は3回やらないと現れないと言われたので、まだ1回なのでよく分かりません。 ...
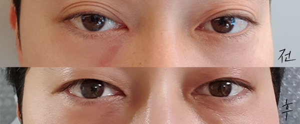
二重手術30日後のレビュー(19歳)。
지방이식 시술하고 피부좋아졌다 예뻐졌다는말을 많이들었어요전체적인 이미지도 좋아졌고필자도 없어지고 앞볼꺼짐으로 평면얼굴이였는데입체감이 있어지니 너...
元々二重が全くない目だったので、以前から夢見ていた目の手術をしてから1ヶ月になります!思ったより멍(멍リ알 is likely a typo and inten...
첫 성형이고 첫 눈수술이었는데 너무 마음에 들게 잘 됐고 원했던인라인도 잘 나온거 같아요~ 눈꺼풀이 두껍지 않아서 자연유착으로했고 눈이 또렷해졌...
베리굿에서 첫 쌍커풀수술한지 3개월정도지났어요한쪽은 곁쌍이고 한쪽은 마음에들어서 고민하다가상담받아보니 비절개 자연유착으로 한다해서티많이 안날것 ...
ナナ美容外科のパク・ソンヒ院長先生に12月31日に手術していただきました。手術室に入ってから1時間10分かかりました。 手術してから2週間になりました。まだア...
벌써 1년 가까이 되가는 것 같아요광대축소, 사각턱축소, 턱끝축소 윤곽 했구요ㅋㅋ후관리로엘라스티꿈가지 했습니다아~저번 얼굴이 조금 길어보이긴 하...
ナナ美容外科でシュリンク300ショットしてきました! カウンセリングも親切で、クレンジングもとても丁寧で大満足! シュリンクも気になる部位を丁寧に施術してい...
元々奥二重だったのが、二重の線がたるんできて何重にもなってしまったので手術を考えるようになりました。 目の手術なので6ヶ所の病院を訪問し、院長先生とのカウンセ...
[江南お姉さん]二重(切開、眼瞼下垂矯正、目頭切開7日目)のレビュー。
[江南お姉さん]ヒップアップリフティング+骨盤フィラー後のレビュー。
ナナ美容外科で唇&口角フィラーとボトックスを受けてきました!! イベントを見て行ったのですが、病院もきれいで、看護師さんたちもとても親切で~カウンセリングも丁...
턱 수술 후에 쳐진 볼살이나 이중턱이 보기싫어서 어플보고 병원 계속 찾던중에베리굿 방문 하게되었어요예약도 빠르고 체계적으로 해주길래 일단 생각없...
ずっと先延ばしにしていた鼻の施術、ついに受けました! 親切に気になることや質問にすべて答えてくださり、丁寧にカウンセリングしていただいたので安心できました。 ...